Docteur Nicolas Froget
votre visage, mon expertise
Spécialiste en chirurgie du visage sur Lyon
Chirurgie esthétique
Médecine esthétique
Chirurgie réparatrice
DR. Nicolas Froget
Spécialiste de la chirurgie
du visage
La chirurgie maxillo-faciale est la seule spécialité en médecine qui s’intéresse exclusivement au visage dans sa globalité : les os, les muscles, les nerfs, la graisse et la peau.
Depuis plus de 20 ans, je travaille sur le visage : le visage fatigué par le temps, déformé par une tumeur, abîmé par un accident…
Chacun a sa propre perception de son visage :
Depuis plus de 20 ans, je travaille sur le visage : le visage fatigué par le temps, déformé par une tumeur, abîmé par un accident.
Mon travail est d’abord de comprendre la perception que vous avez du vôtre, puis de vous proposer un traitement en adéquation avec vos attentes.
La chirurgie esthétique et réparatrice permet d’harmoniser les traits du visage ou de restaurer l’équilibre. Elle allie précision technique et sens artistique pour redonner au patient une apparence naturelle, en accord avec sa personnalité et son histoire..
En chirurgie réparatrice ou en chirurgie esthétique,
j’évalue tous les moyens et les techniques disponibles pour répondre à vos besoins.
Mon obsession est de proposer le meilleur traitement possible afin d’obtenir un résultat naturel.
Les interventions
Médecine esthétique du visage
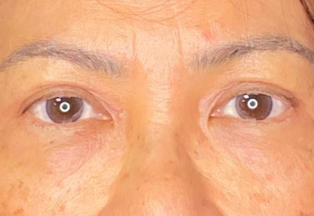
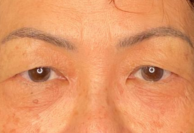
Rajeunissement du visage sans chirurgie, Lifting du visage, Transfert de graisse, Oreilles décollées, Chirurgie des paupières.
Chirurgie esthétique du visage
Lifting cervico-facial, mini-lifting blépharoplastie : chaque geste est adapté à la morphologie et au projet de chaque patient, dans le respect de l’expression et des proportions du visage.
Chirurgie réparatrice du visage
Exérèse d’une tumeur du visage, Reconstruction cutanée du visage, Reconstruction osseuse de la face

